Skip Menu
Continue
  • 1634 West Church Street
  • Newark, OH 43055
  • Call Us Today! (740) 304-0875

To schedule an appointment please call the office

  • Home
  • About
    • Our Office
    • Office Tour
    • New Patients
    • Smile Gallery
    • Dental Videos
    • Testimonials
    • Membership Plan
  • Meet Our Doctors
    • Benjamin Jump, DDS
    • Susan Robertson, DDS
  • Meet Our Team
  • Services
      • All on 4®
      • All on 6®
      • Botox®
      • CBCT
      • CEREC®
      • Cosmetic Dentistry
      • Crowns & Caps
      • Dental Bridges
      • Dental Cleanings
      • Dental Fillings
      • Dentures
      • Dermal Fillers
      • Digital Impressions
      • Digital Radiography
      • Emergency Treatment
      • Extractions
      • Implant Dentistry
      • Implant Restoration
      • Orthodontics
      • Juvederm®
      • Laser Dentistry
      • Night Guards
      • Oral Cancer Screening
      • Oral Exams
      • Pediatric Dentistry
      • Periodontal Treatment
      • Preventive Program
      • Root Canals
      • Sedation Dentistry
      • Sleep Apnea
      • Sports Mouthguards
      • Teeth Whitening
      • TMJ Disorders
      • Veneers
  • Dental Health
  • Contact
    • Contact Us

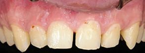
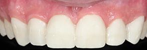
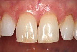
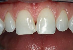
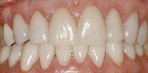
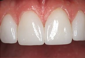
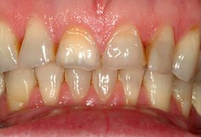
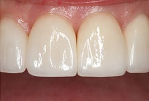
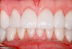
Smile Gallery

Additional Information

Our Location

1634 West Church Street
Newark, OH 43055
(740) 304-0875

Follow Us